Timing is everything!
"When is the best time to begin orthodontic treatment?" Parents ask me this question all the time because they see other children in braces and wonder if they should be pursuing treatment for their own sons and daughters.
Orthodontists are trained in both early intervention, commonly referred to as Phase I treatment, when it takes place between the ages of 7-10 (and often necessitates a second phase, or Phase II treatment, several years later) as well as treatment of the permanent dentition.
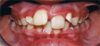
I strongly believe that all children should have an orthodontic evaluation by the age of 7 to rule out issues adversely affecting their development.
The most common problems are:
Cross bites causing the lower jaw to shift or interfering with tooth eruption

Severe skeletal imbalances (such as a lower jaw that is too far back in relation to the upper jaw)

Airway obstructions

Excessive crowding resulting in damage to teeth and/or gums

Destructive habits

Protruded front teeth that are at a higher risk for traumatic injury

Space maintenance for prematurely lost baby teeth
Social and/or psychological concerns stemming from appearance

A majority of the children that I examine at this age do not require immediate orthodontic attention and are placed in an observation program so they can be reevaluated for treatment at a later, more appropriate time for them.
The benefits of delaying orthodontics until all of the permanent teeth have erupted, in the absence of the aforementioned issues, are listed below:
- Fewer appointments to achieve the same result, meaning less missed school or other activities.
- Less lengthy treatments reduce the likelihood of enamel damage from poor oral hygiene.
- Mature patients typically understand the process better and cooperate more fully.
- Growth spurts during adolescence increase treatment effectiveness.
- Completing treatment in a shorter span is less costly than prolonged multiple phases.